
Sam
Geschlecht:
männlich
Alter:
Größe:
43cm
Das ist Sam:
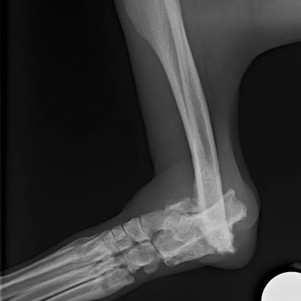
Wir fanden Sam heuer in Rumänien in einem kleinen, dunklen Zwinger. Sein Hinterbein baumelte so irgendwie rum
. Schnell war uns klar, wir müssen diesem armen Kerl helfen.
Eine Endstelle fanden wir, doch leider klappte es dort mit den Katzen nicht, so musste Sam zu unserem Bedauern wieder ausziehen.
Nach eingehenden Untersuchungen und Telefonaten mit Chirurgen und Orthopäden haben wir für den 21.12.23 einen OP Termin in einer Speziaklinik in der Nähe von München für Sam ausgemacht.
Der alte Bruch wird verplattet werden und das Sprunggelenk versteift. Wir hoffen sehr, dass Sam im Anschluss endlich ein schmerzfreies Leben haben wird!
Es ist kaum vorstellbar wie er die Zeit der Verletzung und Heilung, wenn man es denn so nennen kann, alleine verbrachte und dabei ein so ausgesprochen freundlicher Hund blieb.
Wir suchen für Sam: eine Pflegestelle oder am besten eine Endstelle, die mit ihm die Zeit nach der OP gemeinsam durchsteht und auf ihn acht gibt 
Wenn sich wer an den OP Kosten beteiligen möchte, freuen wir uns natürlich immer 
Sam ist ca 43 cm groß, sehr charmant und ein ausgesprochen freundlicher Hund. Nur zu Katzen wird er nicht mehr vermittelt
Update:
Sam konnte vermittelt werden – alles Gute!
So kannst du Sam und unseren anderen Tieren sofort helfen:
Adoptieren
Sam hat dein Interesse geweckt?
Bitte füll unseren > Interessentenbogen aus.
Pflegestelle werden
Bitte füll unser Formular aus: Pflegestelle werden
Wenn du schon Pflegestelle bei TiNA warst, melde dich unter +43 681 20683575 oder vermittlung@tiere-in-not-austria.at.
















